Athelia bombacina






aktualisiert: 21.11.2024 20:25:22

Autoren:
Persoon
Klassifikation:
Fungi, Dikarya, Basidiomycota, Agaricomycotina, Agaricomycetes, Agaricomycetidae, Atheliales, Atheliaceae, Athelia
Aktueller Name gem. MycoDB
Current name: Athelia bombacina Pers., Mycologia Europaea 1: 85 (1822) [MB#490588]



Fruchtkörper / Habitus / Wachstumsform
Resupinat, oft grosse Flächen überziehend
Geruch / Geruchsprofil
Camembertartig
Sporenmasse
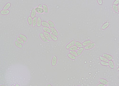
4,5-6,5 (7) x 2-3 µm
Sporenmerkmale
Cyanophil
Hyphen / Hyphensystem
Monomitisch
Schnallen
Vorhanden
Zystidenmerkmale
Keine Zystiden vorhanden
Bestimmt nach
Keine Zystiden vorhanden
"
"

Gattung/en:



Athelia bombacina - Spore/n - Flammer, Tİ 6591
Athelia bombacina - Spore/n -
Athelia bombacina - Flammer, Tİ 17868
Athelia bombacina -
Athelia bombacina - Flammer, Tİ 6592
Athelia bombacina -
Athelia bombacina - Flammer, Tİ 6593
Athelia bombacina -
Athelia bombacina - Flammer, Tİ 6594
Athelia bombacina -
Athelia bombacina - Flammer, Tİ 6595
??
Athelia bombacina -
Athelia bombacina - Spore/n - Flammer, Tİ 6599
Sporen mit Patenblau
Athelia bombacina - Spore/n -
Athelia bombacina - Flammer, Tİ 6600
Athelia bombacina -

Impressum