Sebacina epigaea





Opalfarbige Wachskruste

aktualisiert: 28.08.2025 21:38:46

Autoren:
(Berkeley & Broome) Neuhoff
Klassifikation:
Fungi, Dikarya, Basidiomycota, Agaricomycotina, Agaricomycetes, Auriculariomycetidae, Auriculariales, Exidiaceae, Sebacina
Aktueller Name gem. MycoDB
Current name: Sebacina epigaea (Berk. & Broome) Neuhoff, Zeitschrift für Pilzkunde 10 (3): 70-75 (1931) [MB#251997]
Basionym:
Tremella epigaea Berk. & Broome, Annals and Magazine of Natural History 2: 266 (1848) [MB#220737]
Obligate synonyms:
- Sebacina laciniata subsp. epigaea (Berk. & Broome) Bourdot & Galzin, Hyménomycètes de France: 39, t. 19 (1928) [MB#252914]
- Sebacina laciniata f. epigaea (Berk. & Broome) Bourdot & Galzin, Hyménomycètes de France: 39 (1928) [MB#452047]
Taxonomic synonyms:
- Sebacina ambigua Bres., Annales Mycologici 1 (2): 116 (1903) [MB#452030]
- Sebacina laciniata subsp. ambigua (Bres.) Bourdot & Galzin, Hyménomycètes de France: 40 (1928) [MB#252912]
- Sebacina cokeri Burt, Annals of the Missouri Botanical Garden 13 (3): 334 (1926) [MB#251512]
- Sebacina atrata Burt, Annals of the Missouri Botanical Garden 2: 765 (1915) [MB#234988]
- Tremella coriaria Bres., Verhandlungen der Zoologisch-Botanischen Gesellschaft Wien 57: 300 (1907) [MB#493672]
- Tremella coriacea Sacc. & Trotter, Sylloge Fungorum 21 (1912) [MB#229782]




Gattung/en:



Sebacina epigaea - Flammer, T© 17989
Sebacina epigaea -
Sebacina epigaea - Flammer, T© 17984
Sebacina epigaea -
Sebacina epigaea - Flammer, T© 17985
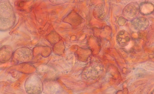
sternartig-höckerige Sporen
Sebacina epigaea -

Impressum