Mycena capillaripes





Haarstieliger Helmling

aktualisiert: 27.12.2020

Autoren:
Peck
Klassifikation:
Fungi, Dikarya, Basidiomycota, Agaricomycotina, Agaricomycetes, Agaricomycetidae, Agaricales, Mycenineae, Mycenaceae, Mycena
Aktueller Name gem. MycoDB
Current name: Mycena capillaripes Peck, Rep. (Annual) New York State Mus. Nat. Hist. 41: 63 (1888) [MB#244887]
Taxonomic synonyms:
- Mycena langei Maire, Bulletin de la Société Mycologique de France 44: 39 (1928) [MB#268933]
- Prunulus capillaripes (Peck) Murrill, North American Flora 9 (5): 328 (1916) [MB#503471]



Könnte mit dem kräftigeren Helmling Mycena zephirus zu verwechseln, da auch dieser Helmling etwas braun fleckt.

Hutmerkmale
Glockig mit braunem Zentrum, braunfleckend
Standort
Fichtenwald
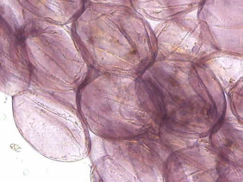
Hutdeckschicht
HDS blasig, färbt sich violett mit Melzer
Cheilozystiden
Spindelig pfriemförmig, mit gelblichem Inhalt
Melzers-Reagenz
Jod Sporen positiv (amyloid)
Synonyme, Namen dt., Verweis
Mycena rubromarginata

Gattung/en:
Siehe auch



Mycena capillaripes - Flammer, T© 4510
Mycena capillaripes -
Mycena capillaripes - Flammer, T© 4511
Mycena capillaripes -
Mycena capillaripes - Spore/n - Melzers - Flammer, T© 4520
Mycena capillaripes - Spore/n - Melzers  -
Mycena capillaripes - HDS - Kongorot - Flammer, T© 4521
Mycena capillaripes - HDS - Kongorot  -
Mycena capillaripes - HDS mit blasigen Zellen - Kongorot - Flammer, T© 4523
Mycena capillaripes - HDS mit blasigen Zellen - Kongorot  -
Mycena capillaripes - HDS mit blasigen Zellen - Flammer, T© 4522
Mycena capillaripes - HDS mit blasigen Zellen -
Mycena capillaripes - Cheilozystiden - Wasser - Flammer, T© 4524
Mycena capillaripes - Cheilozystiden - Wasser  -

Impressum